
نقش تغذیه در سلامت دندانها – ریوا تاوگر- دکر (PhD , RD)
اصطلاحات کلیدی:
پوسیدگی دندان در اثر شیشه شیر کودک الگوی پوسیدگی در دندانهای جلوی کودکان دو ساله به بعد که پوسیدگی شیشه شیر پرستاری نیز نامیده میشود از مجاورت بیش از حد مایعات حاوی قند در زمان خواب ناشی می گردد.
سنگریزه calculus – یک سفت شدگی سخت سنگ مانند که در روی دندانها و بوسیله آهکی شدن پلاک دندانی تشکیل می گردد.
چگونگی و کیفیت پوسیدگی (خاصیت ایجاد پوسیدگی)- خواص پیش برنده پوسیدگی یک غذا
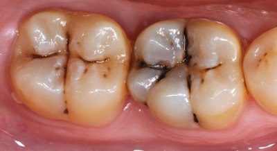
پوسیدگی دندانی- بیماری که در آن اسید تولید شده توسط متابولیسم قندی میکروارگانیسم ها به حمله باکتریها منجر گردیده و باعث کم شدن مواد معدنی مینای دندان و تخریب ساختمان دندان میشود.
عاج دندان- مهم ترین و اصلی ترین بافت آلی دندان که مغز آن را می پوشاند و در تاج توسط مینای دندان و در ریشه ها توسط سیمان پوشیده میشود.
بی دندانی (فقدان دندان)- از دست دادن قسمتی یا کامل دندانهای طبیعی
مینای دندان- ماده ای بسیار سخت غیرآلی سفید، بلورین و متراکم که عاج دندان (دنتین) را پوشانده و محافظت می نماید.
آپاتیت فلوراید- شکلی از یون فلوئور که در عاج و مینای دندان همراه با کلسیم و فسفر تشکیل می گردد.
التهاب فلوراید (fluorosis) – حالتی که از مجاورت مینای دندان با مقادیر فراوان فلوراید ناشی می گردد که با خالهای گچی سفید سطح مینا مشخص می گردد که تا رنگهای قهوه ای پیش روی می نماید و در نهایت بصورت خال خالی تظاهر می نمایند.
لثه- قسمتی از مخاط دهان که تاج های بیرون نزده دندانها را می پوشاند و دور تا دور گردن آنهایی که بیرون آمده اند را در بر میگیرد:
لثه ها (gums) :
شیار لثه ای- فضای V شکل کم عمق و سطحی اطراف دندان که توسط سطح دندان در یک سمت و در سوی دیگر امتداد اپیتلیوم لثه پیوند خورده است.
رویهم قرار گرفتن دندانهای بالا و پائین در موقع بسته بودن دهان (جفت شدگی)- ارتباط دندانهای متضاد در آرواره های بالا و پایین: جفت شدگی کامل زمانی است که دندانهای جلو و عقب فک بالا و پائین کنار هم قرار می گیرند.
بیماری دور دندانی- التهاب بافت لثه ای با پیامد تخریب ساختارهای استخوانی پایه و سرانجام از دست دادن دندان
پلاک- لایه نازک (Film) بیرنگ و چسبناک میکروارگانیسم ها، پروتئینهای بزاقی، اجزای معدنی و پلی ساکاریدهایی که به دندانها و لثه ها می چسبند.
استرپتوکوک موتانس- یک باکتری دهانی درگیر در تشکیل پوسیدگی دندانی
خشکی دهان ناشی از فقدان ترشح طبیعی- خشکی دهان ثانویه بر ناکافی بودن یا فقدان بزاق
رژیم غذایی و تغذیه نقش مهمی در رشد دندان، استحکام بافت دهان و لثه، قدرت استخوان و پیشگیری و مهار بیماریهای حفره دهان ایفا می نمایند. رژیم غذائی براساس موارد زیر از تغذیه تمایز یافته است: رژیم غذایی اثری موضعی بر استحکام دندان دارد که نوع، شکل و تکرار غذاها و نوشیدنیهای مصرفی تاثیری مستقیم روی دندانها دارند. تغذیه اثری عمومی و سیستمیک دارد. تاثیر ماده غذائی وارد شده بطور عمومی بر رشد و حفظ حفره دهان اثر می گذارد. بدلیل سرعت آن در میزان برداشت، مخاط دهان بویژه به تغییرات وضعیت ماده مغذی حساس میباشد.
زمانیکه رژیم غذائی و تغذیه بر حفره دهانی تاثیر می نمایند، تاثیر معکوس آن یعنی اثر حفره دهانی بر مواد غذایی و تغذیه قوت می گیرد، وضعیت حفره دهانی بر توانانی آن بر رژیم غذائی کافی و متعاقب آن تعادل ماده غذایی تاثیر می گذارد.
فهرست مطالب
اصطلاحات کلیدی
سنگریزه calculus
پوسیدگی دندانی
عاج دندان
مینای دندان
آپاتیت فلوراید
التهاب فلوراید (fluorosis)
لثه ها (gums)
بیماری دور دندانی
پوسیدگی دندان
علت شناسی (Etiology)
میکروارگانیسم ها
ماده مناسب (سوبسترا)
خاصیت پوسانندگی یکایک غذاها
عوامل موثر پوسانندگی غذاها
دندان مستعد
روند پوسیدگی
تشکیل پلاک
تولید اسید
وظیفه و عملکرد بزاق
الگوهای پوسیدگی
فلوراید (یون فلوئور)
مکانیسم عملکرد
افزودن فلوراید به آب
منابع دیگر فلوراید
مراقبتهای پیش بینی کننده
بیماری دور دندانی
علت شناسی (اتیولوژی)
درمان تغذیه ای
تخریب دندان به وسیله شیشه کودک BBTD
کنترل BBTD
از دست دادن و دندان مصنوعی
تظاهرات دهانی بیاری سیستمیک (عمومی)
عوامل تغذیه ای در رشد دندان
پوسیدگی دندان
بیماری دور دندانی
پوسیدگی دندان کودک Baby Bottle tooth Decay (BBTD)
از دست دادن دندان و دندان مصنوعی
تظاهرات دهانی بیماری سیستمیک